Dentista Tiago Zambenedetti participa do curso ‘Cllones – Odontologia Estética Digital’ em SC
O dentista Tiago Zambenedetti participou, no mês de abril, do curso “CLLONES – Odontologia Estética Digital”, ministrado em Balneário Camboriú (SC) pelo conceituado professor Paulo Kano. Tiago Zambenedetti possui Especialização em Implantodontia pela Sociedade Brasileira dos Cirurgiões Dentistas e é Especialista em Prótese Dentária pela São Leopoldo Mandic. O profissional atende pacientes de Canguçu nas […]
O dentista Tiago Zambenedetti participou, no mês de abril, do curso “CLLONES – Odontologia Estética Digital”, ministrado em Balneário Camboriú (SC) pelo conceituado professor Paulo Kano.
Tiago Zambenedetti possui Especialização em Implantodontia pela Sociedade Brasileira dos Cirurgiões Dentistas e é Especialista em Prótese Dentária pela São Leopoldo Mandic. O profissional atende pacientes de Canguçu nas clínicas localizadas em Pelotas e Rio Grande (veja os endereços abaixo).
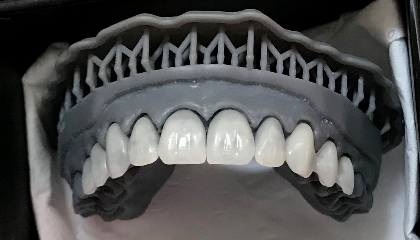
No curso de “Odontologia Estética Digital” em Santa Catarina, foram abordados temas a respeito da inserção da odontologia na era digital, utilizando avançados equipamentos e técnicas específicas para a realização de procedimentos odontológicos com o auxílio de instrumentos e planejamentos digitais, como scanners intra-orais e computadores com softwares específicos, que dispensam técnicas convencionais de moldagem, produzindo modelos tridimensionais digitalizados que podem ser impressos em impressoras 3D.
Estes modelos digitais são inseridos em programas de computador em conjunto com fotos e alguns outros dados do paciente e permitem o planejamento de um novo sorriso. Após a aprovação do paciente, serão produzidos em fresadoras específicas. Este procedimento está sendo chamado de “digital workflow” (fluxo de trabalho digital).
Tiago Zambenedetti
Segundo ele, isso implicará, dentro de algum tempo, na mudança de como se trabalha na odontologia. Com a participação no curso, o currículo ganha continuidade no processo da inserção nesta nova era, que ainda precisa evoluir em alguns aspectos, mas, sem dúvida veio para ficar. É preciso ficar atento à essas mudanças e às atualizações necessárias.
A aplicação na prática clínica já ocorre há algum tempo nos endereços de Pelotas e Rio Grande, onde Tiago Zambenedetti atende.
Desde 2008, eu trabalho com o sistema de cirurgia guiada. Nesta técnica, são inseridos os dados dos exames de tomografia computadorizada num software específico, no qual realizamos uma cirurgia virtual e conseguimos uma simulação bastante precisa da localização ideal dos implantes. Após, os dados desta cirurgia virtual são enviados para uma empresa especializada que confeccionara um guia cirúrgico que será utilizado no paciente para a realização de uma cirurgia flapless para a instalação dos implantes, ou seja, sem a necessidade de incisões e suturas. Isto possibilita uma cirurgia muito mais rápida e um pós-operatório muito mais tranqüilo.
Após a conclusão do curso e aproveitamento do conteúdo, segue o processo reabilitador de maneira digital, para a confecção das próteses sobre esses implantes e dentes.
— A evolução é constante e muito rápida. Ocorre em todas as áreas e, na odontologia não é diferente. Surge para agilizar o trabalho agregando qualidade ao serviço prestado.
ATENDIMENTO
PELOTAS
Praça José Bonifácio, 103 – Centro. CEP: 96015-170
Telefone: (53) 3028-0534
E-mail: [email protected]
Site: www.tiagozambenedetti.com.br
RIO GRANDE
Rua Barão de Cotegipe, 443 – Sala 503 – Centro. CEP: 96200-290
Telefone: (53) 3204-2768
E-mail: [email protected]
Site: www.tiagozambenedetti.com.br








